关闭


24小时急救健康热线:

0825-2222120

24小时投诉电话:

15309067120

欢迎访问遂宁市第三人民医院(网站支持IPV6)

微创介入治疗,打通心脏血管“生命线”!

日期:2023-08-10  点击:4862  属于:医院要闻
    近日,院微创介入中心手术室外,刚刚结束手术的心血管内科副主任龙泉杉疲倦的脸上挂着笑容,对守候在外的患者家属说:“手术很成功。”短短几个字,让患者家属悬着的心放下了。
    几日前,杨大爷因心前区疼痛、胸闷、心悸伴气紧入院,心脏的疼痛让杨大爷夜不能寐急查心电图示:频发室性早搏左前分支阻滞ST-T改变,最好的治疗办法就是介入手术。但要为71岁高龄的老人进行心脏介入手术治疗,不仅需要高超的技术,更需要精准的判断经过龙泉杉医疗团队在充分评估患者病情后,为杨大爷制定了规范化、个体化的手术诊疗方案
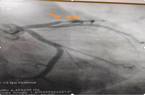
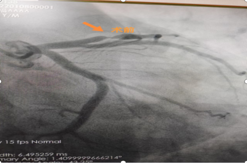
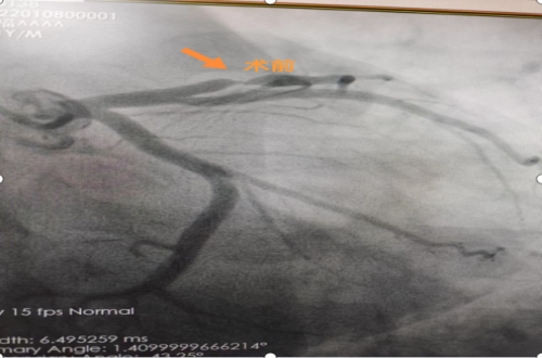
                                                          支架植入术前
                                                           支架植入术后

    术后当天,杨大爷胸痛缓解,即可下床自由活动。经过医护人员专业的治疗及护理,一周后杨大爷痊愈出院。
为了表示感谢,杨大爷及家人为龙泉杉医疗团队送上了写着“医德双馨 医术精湛 爱心呵护 技术娴熟”字样的锦旗,再三感谢心血管内科全体医护人员对他的精心治疗和护理。
    据统计,2022年3月至今,科室成功开展介入手术七百余台,包括冠脉造影、冠脉支架植入、冠脉药物球囊扩张成形、冠状动脉瘘封堵、心脏临时及永久起搏器植入等介入手术。
    介入手术的成熟开展,标志着医院心血管内科在介入治疗领域稳步发展,助力医院综合实力跨越式提升。同时也为心脏病患者的诊断及治疗带来了福音,让周边有需求的百姓,足不出区就可以享受到专家级的优质医疗服务!

宣传统战部