24小时急救健康热线:
0825-2222120
24小时投诉电话:
15309067120
欢迎访问遂宁市第三人民医院(网站支持IPV6)
5 月 31 日
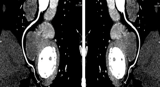
我院放射科通过 CT 联影 UCT-710
成功开展
首例冠脉动脉 CT 血管造影(CTA)检查
填补了我院在此项技术的空白




冠状动脉 CTA 是一种无侵入性、安全便捷的检查方法。
此种方法是将造影剂通过静脉途径以 4-6ml/s 的速度输入患者体内,利用人工智能、软件智能跟踪及心电门控等技术,对冠状动脉及其分支,心脏室壁运动等进行清晰显示。与传统冠脉造影相比,冠脉 CTA 对于冠脉开口变异,能更好地显示血管的开口情况,更好地确定冠脉斑块的性质, 并能显示冠脉以外的病变:如心肌桥、肿瘤等,对心脏和大血管解剖结构的显示优良。
1.易患冠状动脉疾病的高危人群,如有高血压、糖尿病、高血脂、有冠脉疾病家族史及吸烟等危险因素者;
2.运动心电图检查出现异常;
3.不明原因胸痛;
4.患冠状动脉疾病但不愿意或不适宜行冠状动脉血管造影术(DSA) 的定期随访患者;
5.随访已施行冠状动脉桥术后血管的畅通程度。
1.心率过快且β受体阻滞剂禁用者;
2.心律不齐者;
3.碘造影剂过敏者;
4.妊娠期女性。
科室设备先进,拥有德国西门子Aera 1.5T超导磁共振(MRI)、全球高端飞利浦Azurion数字平板DSA、联影160排320层(安装中)、联影60排120层全身螺旋高档CT、美国GE16排全身螺旋CT、数坤人工智能诊断平台,德国西门子YSIO双板DR、意大利GMM单板DR、岛津数字胃肠机等价值近亿元的高精尖进口影像检查设备。
CT具有成像速度超快、图像清晰的优点,能够开展各器官脏器平扫、增强检查、全身血管造影剂灌注成像检查,具有二维、三维等多种重建技术及丰富的影像后处理软件;能够开展CT全身血管成像、冠状动脉血管成像、全身多部位大血管联合成像、胸痛及卒中一站式检查、全身多脏器血流灌注成像,能谱CT成像,达到对冠心病、急性脑卒中、心肌梗死等疾病的早期诊断。熟练开展CT引导下的穿刺活检、CT引导下腰椎间盘突出症臭氧消融治疗术。
MRI能开展头颈部、腹部、脊柱及四肢关节等常规平扫、增强检查,还可进行磁共振功能成像、灌注成像、弥散成像、波谱成像、磁敏感成像、水成像及血管成像等功能。具有多序列、多方位成像和高分辨率、无创伤、无辐射的特点。
DSA适合于心血管、脑血管、外周血管、肿瘤等介入诊断及治疗,能独立开展包括肝癌、肺癌动脉灌注化疗及栓塞术等全身各部位恶性肿瘤介入治疗;颅内动脉瘤栓塞术、颈内动脉海绵窦栓塞术、脑血管及脊髓血管畸形栓塞术、颈动脉及颅内动脉狭窄支架置入术、颅内动脉溶栓术等神经介入治疗;冠状动脉造影术、左右心导管术及肾动脉造影术,经皮冠状动脉腔内成形术和支架术,腔内电生理检查,射频消融术和房颤、房速消融术,临时和永久起搏器植入术,体内除颤式起搏器安置术,先天性心脏病介入封堵术,主动脉球囊反搏术;消化道大出血、妇科大出血、大咯血、创伤引起的全身各部位大出血的介入治疗;全身各部位动静脉造影术;全身各部位血管瘤、脾功能亢进、子宫肌瘤、宫外孕、股骨头无菌坏死的介入治疗;开展食管狭窄的球囊扩张及支架植入术。
DR开展常规四肢关节检查、胸腹部、脊柱检查。
岛津数字胃肠机开展全消化道系统、泌尿系统、胆道系统等特殊造影检查,为临床提供准确可靠的诊断依据。
科室推行精益求精、优质服务、急诊优先、集体阅片理念,为病员提供24小时服务。