24小时急救健康热线:
0825-2222120
24小时投诉电话:
15309067120
欢迎访问遂宁市第三人民医院(网站支持IPV6)
我院一直坚持
以高素质专业化的人才队伍
助推医院高质量发展
吸引大量优秀人才加入
一位让患者重获"心"生的前辈医生
科室:心血管内科
特长:擅长心血管内科疑难重症的
处理及内科常见病、多发病的诊治
围手术期病人的处理
熟练掌握食道电生理测窦房结功能
及终止快速心律失常
心血管内科老年患者居多
很多叔叔嬢嬢一个问题要反复问
喻明书总是会不厌其烦的解答
曾获得“四川省优秀家庭医生”称号

毕业于四川大学临床医学专业,曾到华西医科大学心血管内科进修学习,系四川省中医药学会络病专业委员会委员、中华医学会会员,遂宁市全科专委会副主委,遂宁市心血管专委会委员,遂宁市第七届人大代表、遂宁市医疗事故鉴定专家组成员、遂宁市慢性病鉴定专家组成员。
业精于勤 树茂于根
喻明书人如其名,勤奋好学
从一个名不见经传的普通医生
一步一个脚印的攀登成为一名
德高望重、成绩斐然的医务人员


心血管内科成立后
喻明书毅然挑起了科室发展的重担
在她的带领下
心血管内科成功创建为
遂宁市重点专科建设单位
新技术 "心"安全
“医院引进了全球最先进的
飞利浦Azurion7M20
数字减影血管造影机(DSA)
支持我科开展各种
心血管介入手术,如冠脉造影及介入治疗
心脏临时及永久起搏器安置术。”喻明书介绍到。
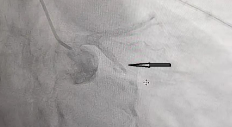
独立完成“冠脉血管球囊扩张+冠状动脉溶栓术”,成功挽救患者生命,进一步提高了急性胸痛患者的救治成功率。
溶栓前
溶栓后
永久性心脏起搏器植入术,为患者解决了舟车劳顿前往大医院就诊的辛苦,减轻了家庭经济负担。
冠脉造影及介入治疗,使越来越多冠心病患者从中受益,少跑路,少花钱,治好病。




“我们科室将继续
学习、引进、研发新技术
培养更多的医疗骨干人才
为患者提供高质量、高水平的医疗服务”
喻明书说
下面附上喻明书医生的坐诊时间
收藏哦,就医时候不要跑冤枉路
喻明书
心血管内科主任
主任医师
教授
毕业于四川大学临床医学专业,系四川省中医药学会络病专业委员会委员、中华医学会会员,遂宁市全科专委会副主委,遂宁市心血管专委会委员,遂宁市第七届人大代表、遂宁市医疗事故鉴定专家组成员、遂宁市慢性病鉴定专家组成员。曾到华西医科大学心血管内科进修学习;获得“四川省优秀家庭医生”称号。擅长心血管内科疑难重症的处理及内科常见病、多发病的诊治及围手术期病人的处理,熟练掌握食道电生理测窦房结功能及终止快速心律失常。
门诊时间:每周一、周二全天、周四上午
咨询电话:15181915072