24小时急救健康热线:
0825-2222120
24小时投诉电话:
15309067120
欢迎访问遂宁市第三人民医院(网站支持IPV6)
急性心肌梗死被称为人类健康的“头号杀手”具有起病急、病情变化快、死亡率高的特点“时间就是心肌,时间就是生命。”每一次救治都是一场和死亡争夺的拉锯战。
2月11日,我院首次独立完成一例“冠脉血管球囊扩张+冠状动脉溶栓术”成功的挽救了患者的生命此病例进一步提高了急性胸痛患者的救治成功率。

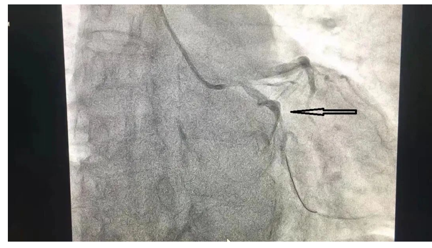
2月11日,63岁的王大爷因“急性胸痛”就诊,急诊科迅速诊断为“急性高侧壁、正后壁心肌梗死”。“时间就是生命,时间就是心肌”,此刻的每一分钟都是在和死神争夺,与时间赛跑,与生命抗衡!面对危重情况,我院立即启动绿色通道,心血管内科副主任医师郑全、主治医师龙泉杉为患者紧急进行“冠脉造影术”,发现回旋支近段完全闭塞,决定为患者行冠脉介入治疗。
术中,先送入球囊扩张闭塞的回旋支,再冠脉内给予普佑克20mg(溶栓药)溶栓,闭塞的血管开通,血流完全恢复。把患者成功从死亡线上拉了回来。
经过心血管内科团队的精心治疗,患者胸痛症状完全缓解,康复出院,“是你们给了我第二次生命,谢谢你们,你们辛苦了”,患者及家属感恩的说道。
溶栓前

溶栓后