关闭


24小时急救健康热线:

0825-2222120

24小时投诉电话:

15309067120

欢迎访问遂宁市第三人民医院(网站支持IPV6)

一台关节置换手术,患者省了2.4万元!

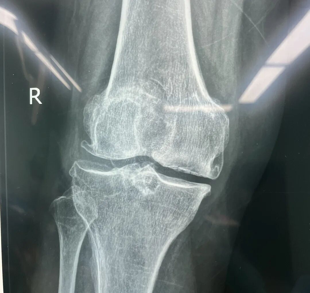
日期:2022-10-11  点击:3417  属于:科室动态


74岁的王奶奶,从十年前,右膝就出现了关节疼痛,近期逐渐加重,站立时感到疼痛难忍,生活质量大大降低。在家人的陪同下,她来到我院骨伤科就诊。主治医师王成接诊后为患者做了DR、CT检查发现,患者右膝骨关节病伴屈曲挛缩,保守的治疗已经很难发挥效果,需进行关节置换。


然而,王奶奶担心手术费用昂贵,犹豫不决。看着满脸愁容的王奶奶,了解原因后,王成笑着告诉她,现在国家有政策,膝关节假体价格大幅度下降,不到万元即可做手术,而且恢复快,术后第二天就可下地活动。在消除种种顾虑后,王奶奶欣然同意手术。


经过手术,王奶奶完全告别了被膝关节折磨的岁月,往日愁容烟消云散。



王成说:自国家集中带量采购工作开展以来,我院紧跟国家医保政策,全面落实人工关节国家带量集采,第一时间做好医疗服务价格政策衔接,膝关节假体平均价格从3.5万元下降至9000元左右,髋关节假体平均价格从 2.5万元下降至9000元左右。


我们是真切地希望患者少花钱、看好病。病例讨论时,主任周建全总是说要大家换位思考,站在病人的角度去考虑,解决患者“看病贵”的难题,让患者“花少钱、治好病”!