24小时急救健康热线:
0825-2222120
24小时投诉电话:
15309067120
欢迎访问遂宁市第三人民医院(网站支持IPV6)
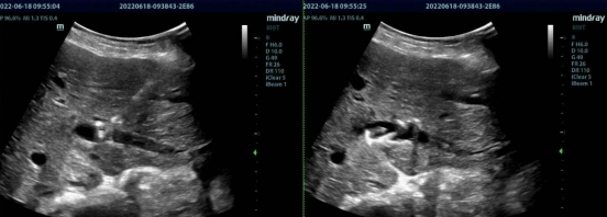
近日,我科与肝胆外科联合成功完成一例高难度超声引导下经皮肝穿刺胆道置管(PTCD)术。
彭老太现年85岁,右上腹疼痛伴皮肤黄染3+天,MRI检查显示肝内胆管广泛扩张,右肝内胆管少许结石,肝门区结构不清,胆总管显示不清,考虑肝门区胆管癌可能。MRCP检查右肝内胆管充盈缺损,肝内胆管广泛扩张,肝门区胆管纠集,胆总管显示不清。经充分术前评估,外科团队决定为其行超声引导下PTCD术。PTCD术对肝内胆管穿刺精准度要求高,超声引导下PTCD术,实时全程精准引导,耗时短,成功率较高,无辐射危害,在临床中治疗中收到青睐。
在超声精准引导下,我科实时多切面扫查选择最佳进针路径并避开周围血管,穿刺针穿入胆管内,穿入导丝,顺利进入胆管,置入引流管,拔出导丝,回抽棕黄色胆汁5ml,固定引流管,复查引流管在胆管内,术后患者无不适,休息后返回病房。


关于PTCD的适应症及禁忌症:
适应症:
1.晚期肿瘤引起的恶性胆道梗阻,行姑息性胆道引流。
2.深度黄疸病人的术前准备(包括良性和恶性病变)。
3.急性胆道感染,如急性梗阻性化脓性胆管炎,行急症胆道减压引流,使急症手术转为择期手术。
4.良性胆道狭窄,经多次胆道修补,胆道重建及胆肠吻合口狭窄等。
5.通过引流管行化疗、放疗、溶石、细胞学检查及经皮行纤维胆道镜取石等。
禁忌症:
1.有严重凝血机能障碍,严重心、肝、肾机能衰竭和大量腹水者。
2.肝内胆管被肿瘤分隔成多腔,不能引流整个胆道系统者。
3.超声检查证实肝内有大液平面,Casoni试验阳性,疑为肝包虫病者。